Я потратила 100 000 ₽ на лечение среднего отита у кошки Кати
Этот текст написан в Сообществе, в нем сохранены авторский стиль и орфография
Зимой моя 11-летняя Катя стала меньше играть, больше лежала, все время просилась на ручки. Мы думали, что просто это возраст. А в начале лета лета у неё появляется проблема с глазом, мы испугались и думали что она повредила себе глаз. Но как мы потом узнали от врача это не повреждение, это синдром Горнера, выглядит это как выпячивание третьего века и зрачки становятся разного размера.
Лечение
Побежали в обычную ветклиника, там нам бессмысленно посмотрели на глаз помогая себе фонариком от айфона, взяли деньги за приём и отправили к офтальмологу. Офтальмолог в тот день нашёлся на другом конце Москвы и сказал, что это не повреждение глаза, а такой синдром это признак проблем с ухом, либо есть опухоль в мозге. Дальше был еще невролог, всякие кт, рентгены, анализы и вердикт, что ничего не понятно без МРТ.
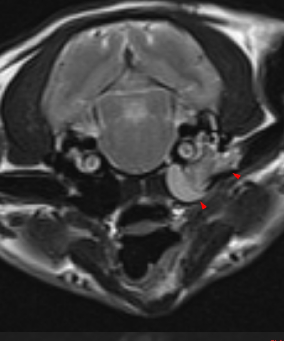
МРТ животным делают только в больших клиниках-госпиталях под наркозом. И такую процедуру я нашла в достаточно дорогой клинике, куда люди приезжали с животными на очень дорогих машинах. Перед МРТ нужно было посетить дерматолога, анастезиолога, сдать анализы и эхо-кг для пожилых животных. Результат показал, что это отит среднего уха. Там же мы сделали операцию по удалению жидкости из уха и ещё раз посетили дерматолога после.
Расходы
Я потратила на МРТ и анализы для его проведения 25К, сама операция стоила 20К и приём врача в дорогой клинике 7К, мы посещали его дважды. В остальных клиниках где отказались ставить диагноз без МРТ я потратила ещё в среднем по 5К на приёмы офтальмолога, невролога и дерматолога и много анализов и процедур (кровь, бактерии уха, рентген, КТ и тп) ещё около 15к. Также покупала препараты, которые они назначали ещё на 10к (они импортные, редкие и оказались не нужны, т. к. до среднего уха все эти капли не добираются).
Как дела у питомца сейчас
Все прошло успешно, ухо вылечили, а глаз после операции полностью пришёл в норму месяца через 1,5.
Но ещё через 2 месяца, у нас случилось обострение МКБ и сейчас мы лечим уже его, нужно делать операцию по удалению камня, а это будет ещё около 100к как нам предварительно посчитали.













